Virtual Consultation
We are pleased to offer virtual treatment to our patients. Take a series of 6 photographs using the guidelines below, and submit them to our office using the form on this page 48 hrs before your appointment. This will allow Dr. Grieve time to review your photos prior to your scheduled virtual appointment.
How it Works:
![]()
1. Ask someone to help you replicate the photos below using a digital camera or smartphone.
![]()
2. Submit all 6 of your photos using the form below and tell us about any concerns you have.
![]()
3. Dr. Grieve will review your photos with you during your virtual appointment.
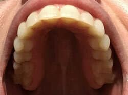
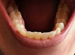
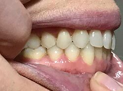
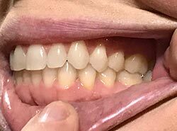
How to Photograph Your Smile
Photos should be taken in a seated position, in a room with good lighting. For best results, have someone else take the photos, as they can be difficult to take on your own.
Please contact our office if you have any questions about this form.
"*" indicates required fields