Common Orthodontic Problems or Malocclusion

Orthodontic problems can affect patients of all ages — in fact, perfectly aligned teeth are rare without orthodontic care. Bite issues, also known as malocclusion, can interfere with chewing, speech, oral hygiene, and overall smile appearance. These concerns may be genetic or develop over time due to habits such as thumb sucking, dental disease, injuries, birth conditions, or other health factors.

Understanding the orthodontic issue you or your child may be experiencing is the first step toward correcting it. At Dr. W. Gray Grieve Orthodontics in Eugene, OR, Dr. W. Gray Grieve provides personalized treatment designed to improve both the function of your bite and the appearance of your smile.

Below are examples of some of the most common orthodontic problems we treat.

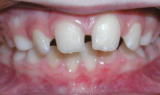
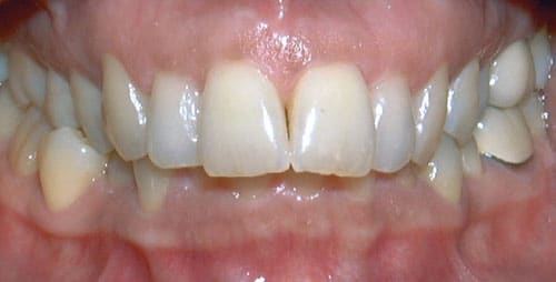
Upper Front Teeth Protrusion

Upper front teeth protrusion occurs when the upper teeth extend too far forward or when the lower jaw does not project far enough. This condition can affect facial balance and make it difficult to fully close the lips comfortably. Protruding front teeth are also more vulnerable to chips or fractures during sports or accidental falls. Orthodontic treatment helps reposition the teeth and improve both function and appearance.

Overbite

An overbite happens when the upper front teeth excessively overlap the lower front teeth. In more severe cases, the lower teeth may bite into the roof of the mouth. Over time, a deep overbite can contribute to jaw discomfort, uneven enamel wear, and strain on the jaw joints. Correcting an overbite can improve bite function, protect the teeth, and enhance smile harmony.

Crossbite

A crossbite occurs when some upper teeth sit inside the lower teeth instead of outside. This misalignment may affect a single tooth or multiple teeth and can lead to uneven jaw growth if left untreated. Patients with crossbites may experience jaw shifting when biting down. Early orthodontic correction can help guide proper jaw alignment and prevent long-term wear on the teeth.

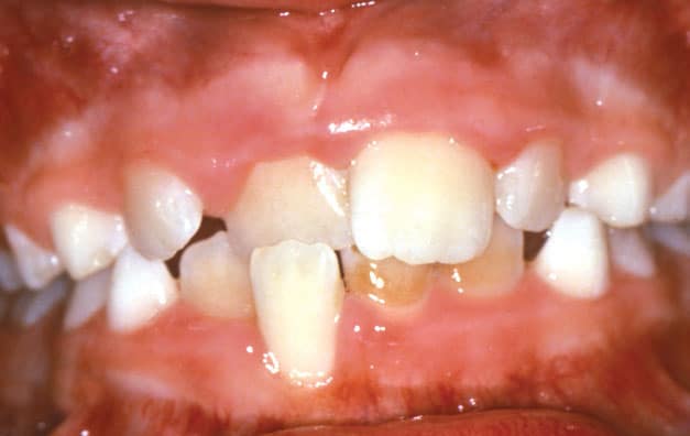
Openbite

With an open bite, the upper and lower front teeth do not overlap when the mouth is closed. This can make biting into foods like sandwiches or apples difficult. Open bites are sometimes linked to prolonged thumb sucking or tongue thrusting habits. In addition to chewing challenges, speech clarity may also be affected. Orthodontic treatment helps bring the teeth into proper alignment for improved function.

Crowding

Crowding develops when there is insufficient space in the jaw for all teeth to fit properly. Teeth may overlap, rotate, or become trapped beneath the gums. Crowded teeth can be harder to clean effectively, increasing the risk of cavities and gum disease. In many cases, orthodontic expansion can create the necessary space without extractions, improving both oral health and appearance.

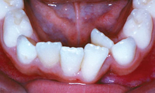
Spacing

Spacing refers to gaps between teeth, which may occur due to missing teeth, small teeth, or natural jaw size differences. While some spacing concerns are primarily cosmetic, larger gaps can affect bite stability and gum health. Orthodontic treatment can close unwanted spaces and create a more balanced, even smile.

Underbite

An underbite occurs when the lower jaw extends forward, causing the lower front teeth to sit in front of the upper teeth. This misalignment can affect chewing efficiency, speech, and facial profile. In more significant cases, an underbite may contribute to jaw strain or uneven tooth wear. Orthodontic treatment helps reposition the teeth and, in some cases, guide jaw alignment for improved function and long-term stability.