Dr. W. Gray Grieve Orthodontics in Eugene, OR
Dr. W. Gray Grieve provides experienced, patient-centered orthodontic care for children, teens, and adults in Eugene and surrounding communities. Whether you’re considering traditional braces or Invisalign® clear aligners, we offer flexible financing options and transparent treatment estimates to make high-quality orthodontic care accessible and straightforward.
Advanced Orthodontic Care for Every Stage of Life
Our practice uses advanced orthodontic technology, including digital 3D iTero® scanning and modern digital treatment planning, to ensure precise diagnosis and efficient results. Dr. Grieve carefully evaluates bite alignment, jaw development, and airway considerations to create customized treatment plans designed for long-term stability and overall oral health.
Read More
Start Your Smile Journey with Trusted Expertise
At Dr. W. Gray Grieve Orthodontics, we are committed to delivering exceptional orthodontic treatment tailored to your individual needs. From early orthodontic care for children to braces for teens and Invisalign for adults, we focus on creating healthy, confident smiles with personalized attention and proven experience.
Schedule Your Consultation
Book your complimentary orthodontic consultation or request a same-day emergency visit. Call our office or schedule your appointment online to begin your path toward a confident, lasting smile.
Meet Dr. Gray Grieve
Dr. W. Gray Grieve is a board-standard orthodontic specialist with more than 20 years of clinical experience providing advanced orthodontic care. Since establishing his practice in 1991, he has helped thousands of children, teens, and adults achieve healthier, properly aligned smiles through customized, evidence-based treatment planning.
Dr. Grieve completed a post-doctoral orthodontic fellowship and earned a master’s degree in Oral Biology, giving him a strong foundation in both clinical care and research. He has published in respected orthodontic journals and has lectured on orthodontics and oral health. Committed to continuing education and modern technology, he delivers precise, ethical, and patient-centered care designed for long-term stability and confident results.
Metal Braces
Traditional metal braces are a reliable and highly effective solution for correcting crowding, spacing, and bite issues. Today’s braces are smaller, more comfortable, and designed to move teeth efficiently for strong, lasting results.
Invisalign® Clear Aligners
Invisalign clear aligners offer a nearly invisible way to straighten teeth without brackets or wires. These custom-made, removable trays provide a comfortable, flexible treatment option for teens and adults seeking a discreet smile solution.
Why Families Choose Dr. Grieve
Private, Doctor-Owned Care
Care here is personal. You’ll see the same orthodontist throughout your journey, with thoughtful guidance and consistent oversight from start to finish.
Technology That Makes Treatment Easier
Digital imaging and advanced systems allow for highly detailed treatment mapping. The result is efficient visits, smoother progress, and carefully designed smile outcomes.
Financing That Fits Your Life
We offer practical payment solutions designed around busy families. Clear communication and straightforward planning make starting treatment simple and stress-free.
Orthodontic Treatment for Every Age
Every stage of life brings unique orthodontic needs. We create age-appropriate treatment plans designed to support healthy development, confident smiles, and long-term stability, from first evaluations to adult smile refinements.
Early Treatment
Teen Treatment
Adult Treatment
Top-Rated Orthodontic Care in Eugene
Thank you !
His office is clean, modern, and equipped with the latest technology. Highly recommend!
Warm regards,
Kelli Tinker
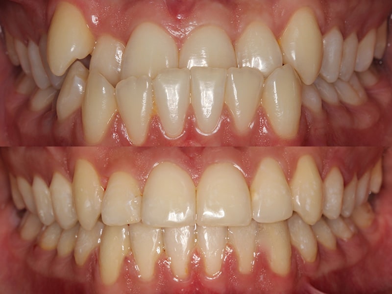
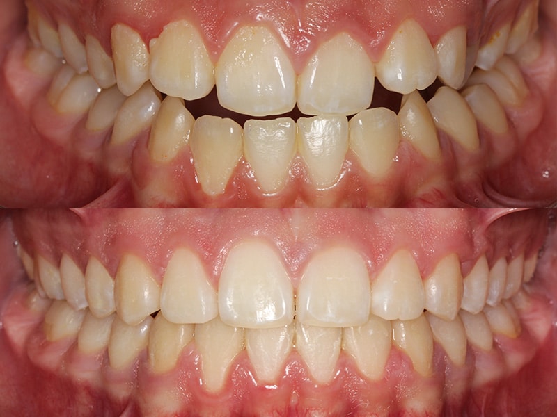
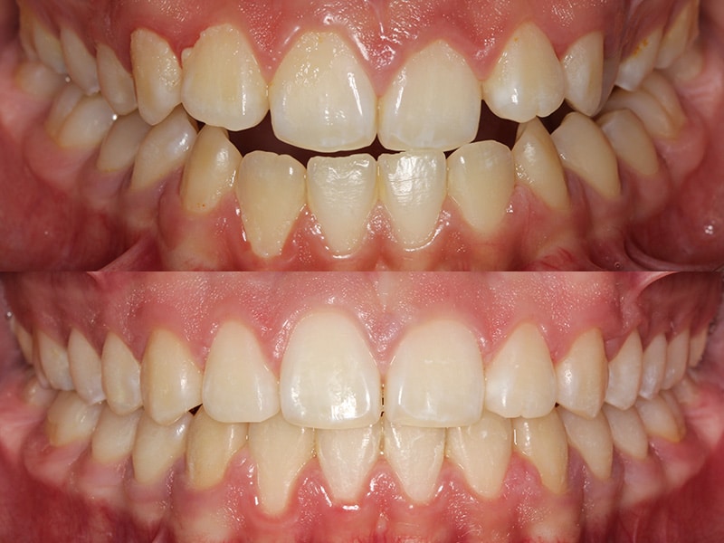
Precision You Can See in Every Smile
Every smile transformation tells a story of careful planning, advanced technique, and attention to detail. Our before-and-after results showcase real patients who trusted Dr. W. Gray Grieve to improve alignment, correct bite concerns, and create balanced, natural-looking smiles.
From subtle refinements to dramatic corrections, each case reflects customized orthodontic treatment designed for lasting stability and confident results. Explore the transformations and see what’s possible with expert care and precise treatment planning.